+373 22 546 400

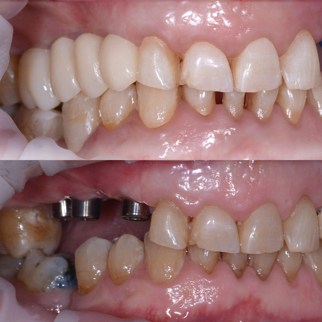
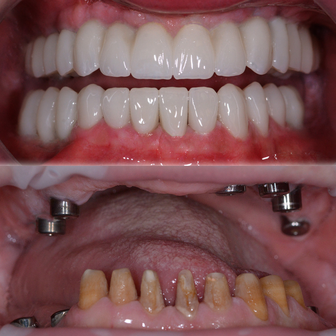
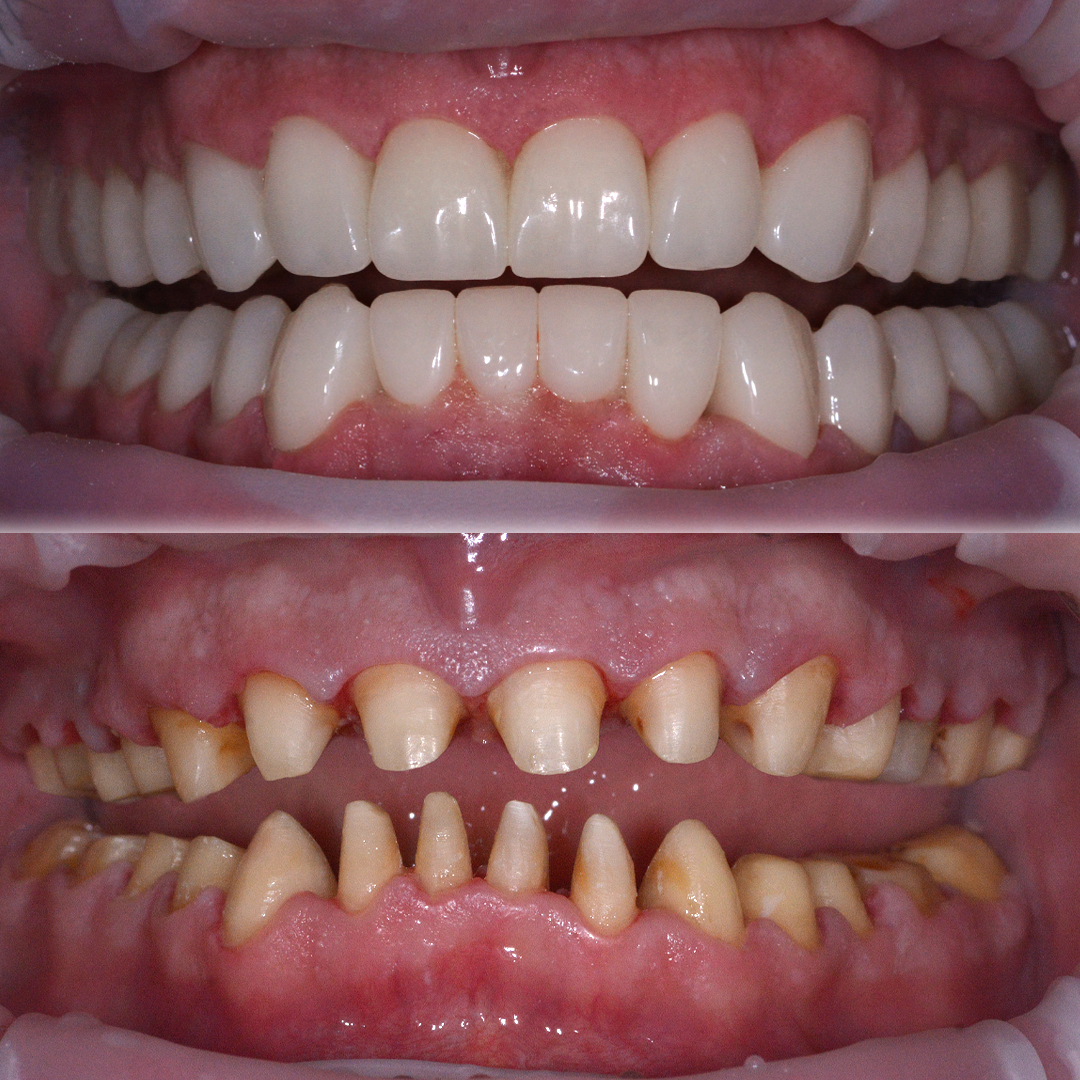
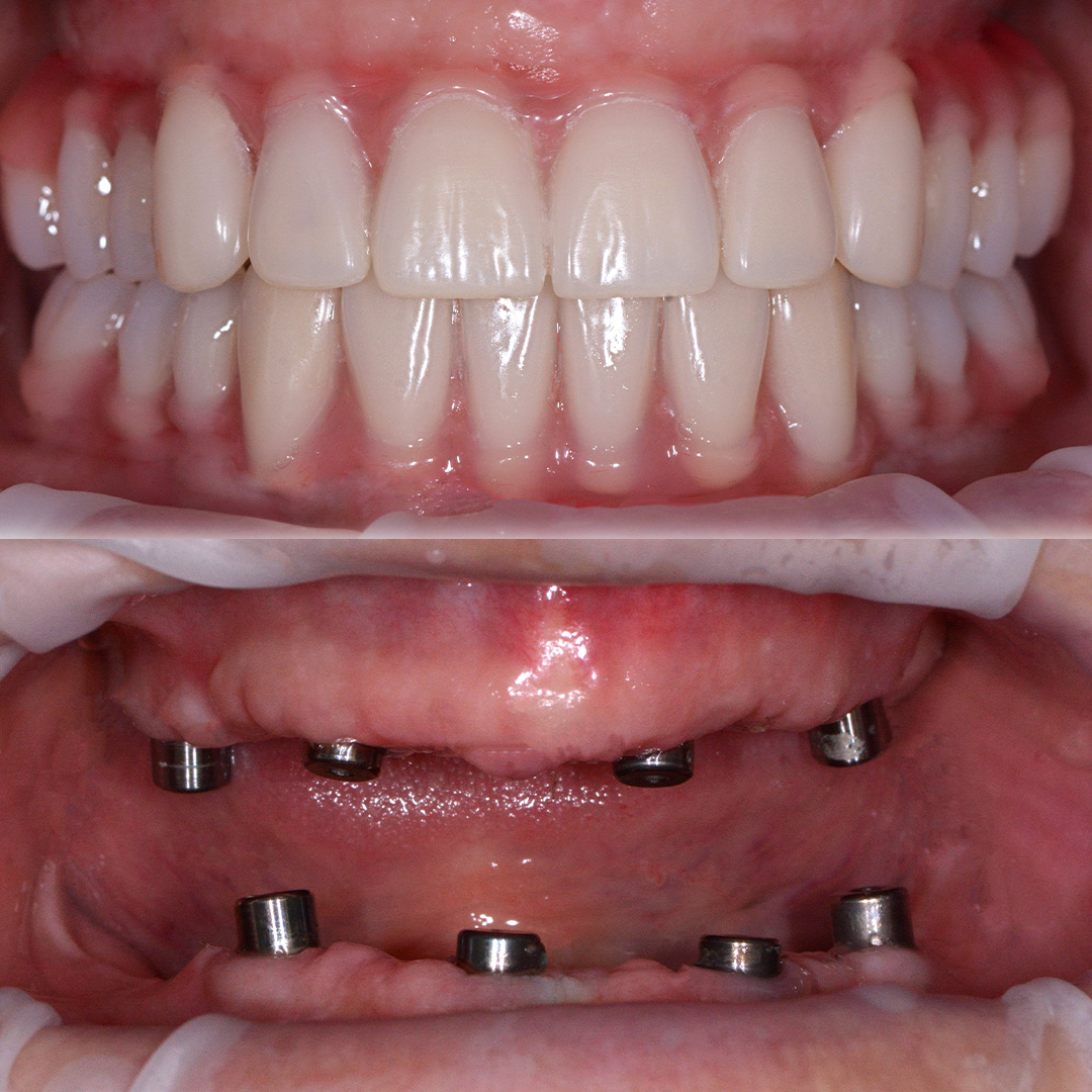
Клинические случаи - Протезирование